
퍼스트내과의 위•대장내시경검사를 통해 식도암•위암•대장암을 발견 및 진단한 사례입니다. 퍼스트내과는 국민건강보검진기관 평가에서 최우수 등급을 획득한 내시경 분야 최고의 의료진과 함께 위•대장내시경검사를 진행하고 있습니다.


정기적인 위내시경을 받으셨더라면 조기에 발견했을 텐데, 안타까운 경우입니다. 식도암은 음주와 흡연이 가장 중요한 위험인자이며, 특히 흡연량이 많아질수록 위험도도 높아지는 것으로 알려져 있습니다. 음식물 섭취 시 걸린 느낌, 소화장애가 지속된다면 반드시 위내시경 검사를 통해 이상 여부를 확인해 보시기 바랍니다.


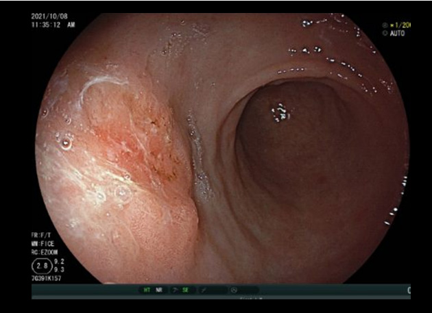
위암도 초기에는 대부분 아무런 증상이 없는 경우가 많으며, 정기적인 위내시경 도중 우연히 발견되는 경우가 많고, 진행된 위암의 경우, 오심, 구토, 소화불량 등의 증상이 나타날 수 있습니다. 정기적인 위내시경 검사를 통해 위를 직접 관찰하고 필요시 조직 검사를 통해 위암이 의심되는 부위를 확인함으로써 위암을 조기에 발견할 수 있습니다.


위암도 초기에는 대부분 아무런 증상이 없는 경우가 많으며, 정기적인 위내시경 도중 우연히 발견되는 경우가 많고, 진행된 위암의 경우, 오심, 구토, 소화불량 등의 증상이 나타날 수 있습니다. 정기적인 위내시경 검사를 통해 위를 직접 관찰하고 필요시 조직 검사를 통해 위암이 의심되는 부위를 확인함으로써 위암을 조기에 발견할 수 있습니다.


단 한 번의 내시경 검사로, 위암을 진단 못할 수도 있습니다. 위통이나 속 쓰림, 소화불량 등의 증상이 있고 위암일 가능성이 조금이라도 있다면 다시 위내시경을 시행하여 확인하는 것이 중요합니다. 위내시경 시행 후 괜찮다고 안심하지 마시고, 증상이 지속되거나, 위암의 고위험군이라면 지속적인 위내시경 검사를 하시는 것이 좋습니다.


남자와 폐경 후 여성분들에게 나타나는 빈혈은 위장관의 악성질환에서 조금씩 피가 나는 것이 원인일수 있기 때문에, 반드시 위, 대장내시경을 시행하여 위암이나 대장암이 있는지 확인이 필요합니다. 만성질환에 동반된 빈혈은 환자분이 적응하면서 어지러운 증상을 호소하지 않기 때문에, 불편감을 못 느낄수도 있으나 그냥 지나치지 말고 반드시 내시경검사를 통하여 확인할 필요가 있다는 것을 다시 한번 깨달은 증례였습니다.







